



| 2016年 ニュースと近況 |
| 2016年12月26日 (月) |
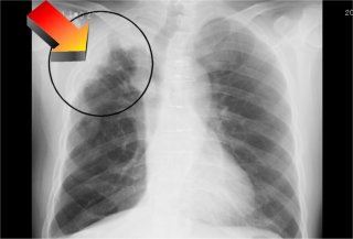
「肺がんの疑い」可能性低いと診断 |

11月に、市の定期健康診断を受けました。その結果、右肺の上部に影があり、肺がんの疑いが濃厚との見立てをもらって驚きました。慌てて築地にある国立がんセンターの門を叩きました。以来ほぼ丸2ヶ月の間、様々な検査と、薬の効きを確認する治療を受けました。
この日最終的に「がんの疑いは低い」との判定をもらい、ひとまず安心しました。来年の3月に再検査があり、それまでは執行猶予ということになります。 |
| 2016年 ニュースと近況 |
| 2016年12月4日 (日) |
市民と野党の共同の実現と政策を語るつどい |

日野市生活保健センターで、日野市民連合が主催する集会、アベ政治を許さない!「市民と野党の共同の実現と政策を語るつどい」−衆議院選挙東京21区の勝利をめざして−、が開かれ、70名の市民が集まりました。招いた野党各党の代表者に、政治や生活に関6する不安や希望などを聞いてもらい、各党の方針や取り組みについて語ってもらいました。
アベ政権が暴走する中、総選挙に対する準備が着々と進んでいます。 |
| 2016年 ニュースと近況 |
| 2016年11月28日 (月) |
「市民と野党をつなぐ会@東京」in 中野 |

衆議院議員選挙を睨んだ、市民の取り組みが活況を帯びてきました。第2回「市民と野党をつなぐ会@東京」が中野区産業振興センターで開かれました。
未組織地域の多い多摩地区からの参加を促すために、城西の中野が選ばれましたのですが、その効果もあって参加者は86人と盛況でした。「総がかり行動実行委員会」の高田健さんの講演の後、選挙区ごとの交歓が行われ、初参加の立川市民とも顔合わせができ、今後への弾みがつきました。 |
| 2016年 ニュースと近況 |
| 2016年11月27日 (日) |
「旅度(たびたび)の会」ランチ会を新宿で |

遺族の会の旅仲間たちと、久しぶりに食事会を開きました。新宿の歌舞伎町にあるタイ料理の「バンタイ」で、かつて一緒したタイ旅行を思い出しながら、本場の料理をお腹がはち切れるほど食べました。
メンバーの高齢化に伴う様々な理由や、体力の問題で、年々交流も減ってきています。旅行などの遠出は年々難しくなりますが、苦楽を共にした得難い仲間たちです。今後共大切にしていきたいと思っています。 |
| 2016年 ニュースと近況 |
| 2016年11月24日 (木) |
54年ぶり、11月の初雪・積雪 |

未明から関東地方は雪になり、午後3時ごろまで降り続いた雪の深さは7cmほどにもなりました。突然出現した雪景色にはびっくり。
赤く紅葉したモミジが雪のベールを被るという、珍しい光景を見ることが出来ました。
11月の初雪と積雪は、なんと54年ぶりのことだそうです。寒い一日、今年初めての暖房を入れ、日長震えて過ごしました。
元々寒さに弱い私は、これから始まる長い冬を呪うばかりです。 |
| 2016年 ニュースと近況 |
| 2016年11月15日 (火) |
清流、浅川の水位を守れ |

日野市の中心を貫く浅川は、流域下水道整備事業のあおりを受けて、急速に減水しています。このまま行けば、冬場には枯川になる恐れがあります。それを食い止めようと、市民環境グループは、市当局への働きかけを強めています。
その先頭に立つ市議会議員、有賀精一さんの市政報告レポートを、連日、淺川沿いの住宅にポスティングをしました。多くの市民の関心が高まることを願いつつ、心地よい汗を流しました。 |
| 2016年 ニュースと近況 |
| 2016年11月 9日 (水) |
「市民と野党をつなぐ会@東京」世話人会 |

この日、アメリカではトランプが大統領の座を射止め、世界中を騒がせました。都内大塚駅近くの豊島区地域文化創造館で開かれた「市民と野党をつなぐ会@東京」の世話人会に出席しました。
各地区の現状を報告しながら、先行しているグループから、適格なアドバイスがなされました。また組織としての体裁も整いつつあり、今後は組織拡大のための行動がよりいっそう顕著になります。 |
| 2016年 ニュースと近況 |
| 2016年10月31日 (月) |
市民と野党をつなぐ会@東京 設立集会 |

安倍政権はTPP法案強行採択の勢いを借りて、早ければ年末年始にも衆議院の解散・総選挙もあり得ると囁かれています。これに危機感を感じた市民が集い、国政選挙に備えた活動として、各地域で設立されている市民団体の情報共有と連携を図るため、「市民と野党をつなぐ会@東京」が結成されました。
設立集会会場となった上池袋コミュニティーセンターには、大勢の区市団体が参加し、諸団体の活動報告や、今後の活動についての意見交換を行いました。 |
| 2016年 ニュースと近況 |
| 2016年10月26日 (水) |
高知 四万十川を旅する |

10月22日(土)〜10月26日(水)の5日間、高知県西部を旅しました。日本に残された、最後の清流と言われる四万十川と仁淀川を極めようと、河口から源流まで、車を使ってではありますが、のんびりと川に触れながら辿って来ました。
宿泊は梼原町の農家民宿、仁淀川町の廃校活用施設などを選び、あちこちで地元の方との交流を楽しみました。もちろん食べ物は、地元の食材を活かしたもので、鮎やカニなど川の恵みも味わいました。
写真は、四万十川の源流で |
| 2016年 ニュースと近況 |
| 2016年10月 9日 (日) |
日野市民連合「徹底討論」拡大呼びかけ人会議 |

日野市民連合「徹底討論」拡大呼びかけ人会議が、日野市生活保健センターで開かれ、17人が参加しました。安倍内閣の驕り高ぶりは頂点に達し、巷では日露交渉の成果を引っさげて、今年末もしくは来年初頭の衆議院選挙の可能性が取りざたされています。
野党共闘によってアベ政治に決別をつけようと、4時間にわたるロングラン会議で、組織の見直しや、市民側のスタンス、今後の運動方針について熱い議論を戦わせました。 |
| 2016年 ニュースと近況 |
| 2016年10月 1日 (土) |
日野市民九条の会、定期総会 |

日野市民九条の会の、第11回定期総会が、市内「ゆのした市民交流センター」で開かれました。
安保法制が成立した昨年からの1年間の事業活動が報告されました。九条の会は、憲法についての勉強会的な色彩が強いのですが、激変する政治情勢と、近いとされる国政選挙を踏まえ、行動する団体への変身が試みられています。
街頭活動や、他団体との連携が強められて行くことになりそうです。 |
| 2016年 ニュースと近況 |
| 2016年 9月27日 (火) |
井手 渉さんを囲む会 |

元全国交通事故遺族の会の会長、井手 渉さんを囲む、通称「茜会」が千葉県白井町のうどん割烹「茜(あかね)」で開かれ、10名の元会員が集まりました。
我々の風貌が明らかに老いて来ているのに対し、井手さんは明らかに若返ったような印象で、大いに喜ばせてくれました。この1年の出来事を語り合いながら、旧交を温め合いました。
写真は、井手さんを囲んでの記念写真 |
| 2016年 ニュースと近況 |
| 2016年 9月19日 (月) |
9・19国会前集会 |

一年前の今日、悪名高い安保法案が参議院で強行採決され、成立しました。この悔しさを忘れまいとして、この日全国で400箇所もの反戦集会が開かれました。国会前では23000人の市民が、豪雨をついて集まり、未だ熱の衰えていないのを証明しました。
民進党前党首の岡田さんや、共産党の志位委員長、社民党の福島副代表らが応援演説を行いました。憲法改正阻止に向けての、また新たな闘いの始まりです。写真は、野党共闘を訴える元SEALDsのメンバー。 |
| 2016年 ニュースと近況 |
| 2016年 9月18日 (日) |
八坂神社で秋の大祭 |

暑い夏が終わったと思ったら、日本列島は、まるで台風と長雨に蹂躙されたように、不安定な天気が続きます。
そんな中、日野市の古社である八坂神社で秋の大祭が行われ、勇壮な神輿を見物に、孫たちを連れて出かけました。この祭りが終わると、多摩地方にも本格的な秋の訪れです。
写真の左は、八坂神社で偶然に出会った遊び仲間のОさんです。 |
| 2016年 ニュースと近況 |
| 2016年 9月11日 (日) |
日野市民連合呼びかけ人会 |

日野市民連合呼びかけ人会が日野市生活保健センターで開催され、参加しました。
7月の参議院選挙と、それに次いだ東京都知事選挙後の初めての呼びかけ人会です。選挙活動の総括を行ったあと、市民連合の存続と、今後の活動継続を確認しました。
今回は時間の制約があったため、充分な審議が行なえませんでしたので、改めて10月に再度の会議を行い、イベントの実施などについて、検討を重ねていきます。 |
| 2016年 ニュースと近況 |
| 2016年 9月 6日 (火) |
日野市議会の傍聴 |

長く、暑い夏休みが終わり、子どもたちは学校に帰って行きました。9月6日、開催中の日野市議会本会議を傍聴しました。
妻が関わっているサークル「市民環境大学」は、市内を流れる一級河川浅川の、水位低下を食い止めるための運動を行っています。この問題を、有賀精一市議会議員が一般質問で取り上げてくださいました。大勢の市民が、この問題に関心をもって、応援傍聴していました。 |
| 2016年 ニュースと近況 |
| 2016年 8月22日 (月) |
台風9号の直撃 |

前日、夏の甲子園野球決勝戦が行われ、栃木県の作新学院が54年ぶりの優勝を果たしました。そしてこの日、17日間に渡って戦われた、リオ・デ・ジャネイロでのオリンピックが閉幕しました。日本選手団の連日の活躍に、一喜一憂する毎日を過ごしました。
ところで、これも異常気象でしょうか。日本近海で台風が3個も連続して発生し、台風9号が関東地方を襲いました。館山市から上陸した台風は、多摩地区にも猛烈な雨を降らせました。近くを流れる浅川は、大きな濁流と化し、自然の猛威を知らされました。 |
| 2016年 ニュースと近況 |
| 2016年 7月29日 (金) |
胃潰瘍の完治 |

今年の3月、原因不明の胃痛に悩まされました。日野市立病院で診てもらったところ、胃潰瘍(胃カメラ写真、白い円形の部分)と診断されました。胃潰瘍は薬で治りましたが、この際、ピロリ菌の除去もやっておこうということになりました。そのまま薬を継続して服用、最終的に7月19日に呼気テストを受けました。
そして7月29日、ようやく完治を告げられました。体のダメージはありませんが、半年近い長い闘いでした。 |
| 2016年 ニュースと近況 |
| 2016年 7月27日 (水) |
高幡不動駅前の都知事選応援街宣 |

東京都知事選挙戦も終盤戦に入りました。日野市には鳥越俊太郎候補は来られませんでしたが、この日鳥越候補の選挙カーが高幡不動駅にやって来ました。日野市民連合を中心にした市民が取り巻く中、共産党の新参議院議員である山添拓さんなど、応援弁士が、鳥越候補への応援演説を行いました。この勢いを最後まで維持したいところです。
写真は、山添拓議員と |
| 2016年 ニュースと近況 |
| 2016年 7月26日 (火) |
選挙応援に、精出す日々 |

東京都知事選挙戦も後半戦に入りました。世論調査などによると、鳥越俊太郎候補は、悪質な週刊誌の妨害工作で、どうやら票が伸び悩んでいるようです。選挙事務所から送られて来た、チラシの個別配布に連日精を出しています。
また「革新都制をつくる日野の会」が毎日開催している日野市内3駅街宣活動の、高幡不動駅での活動に参加して、必死で鳥越候補への投票を呼びかけています。 |
| 2016年 ニュースと近況 |
| 2016年 7月23日 (土) |
「鳥越俊太郎」東京都知事候補来る |

東京都知事選挙は、終盤戦を迎えつつあります。野党4党が協力する鳥越俊太郎候補がJR立川駅北口に遊説にやって来ました。道路やペデストリアンデッキは、候補を見ようと、たくさんの市民が詰めかけ、大いに盛り上がりました。鳥越さんは、「平和と憲法を守り、原発を無くす」と公約、東京の「非核都市宣言を目指す」と抱負を語りました。
集会後、日野市民連合のメンバーは、日野駅に戻り、鳥越候補への投票を訴える街頭宣伝活動を行いました。 |
| 2016年 ニュースと近況 |
| 2016年 7月14日 (木) |
怪奇 部屋の中でセミが湧く? |

いくら考えても理解も納得もいかない、怪奇現象です。
夜、窓辺にガサガサという音がして、よく見ると、羽化したばかりで、まだ羽も乾かない「ニイニイゼミ」が2匹いました。
おそらく部屋の中に置いた植木鉢に産み付けられたセミの卵が、7年という年月を経て、この日羽化したものとしか考えられません。まったく不思議なことです。ともかく、写真を撮った後、外に逃がしてやりました。 |
| 2016年 ニュースと近況 |
| 2016年 7月10日 (日) |
参議院選挙惨敗、護憲の決意を新たに |

7月10日、参議院選挙の投開票が行われ、東京は民進党の小川敏夫さん、また比例区では社民党の福島瑞穂さんが当選し、まずは応援した努力が報われました。
しかし経済政策に的を絞った自公政権は、合わせて70人を当選させ、大幅に議席を伸ばしました。またこの結果、全参議院での改憲勢力は2/3を占めることになり、時代の流れは大きく変わることは確実です。この危機感を抱きながら、これからも平和な日本を守るため、活動を続けて行こうと決意しました。 |
| 2016年 ニュースと近況 |
| 2016年 7月 7日 (木) |
高校生に、参院選の投票を呼びかける |

参議院選挙の投票日が近付いています。今年から満18歳以上の者にも選挙権が与えられました。しかし報道によると、若者は選挙はあまり関心がないようです。
高校生にも関心をもって欲しいと、7月6日の登校時間、都立南平高校の門前で、7日には都立日野高校で「選挙に行こう」のプラカードを掲げるスタンディングを行いました。中には熱い視線を送ってくれる生徒もいて、無駄ではなかった気がします。写真は南平高校 |
| 2016年 ニュースと近況 |
| 2016年 7月 3日 (日) |
「選挙に行こう」高幡不動駅前行動 |

この日、八王子地区では36度の猛暑日になりました。日野市民連合が呼びかけた「平和憲法守ろう!選挙に行こう!共同アクション in 高幡不動駅」には21名のメンバーが参加しました。
駅の利用者たちに、参議院選挙で棄権しないよう呼びかけるとともに、野党候補への投票を訴えました。投票日まで、残り1週間、後悔が残らないよう、頑張るつもりです。 |
| 2016年 ニュースと近況 |
| 2016年 7月 2日 (土) |
高幡不動 七夕祭り |

高幡不動尊の七夕祭りが始まりました。梅雨の中休みとなったこの日、気温は32度と、真夏の一日となりました。高幡不動尊の参道には、カラフルな七夕飾りが林立して華やぎます。よさこい踊りのコンクールや、幼稚園・保育園の園児による様々なパレードが続きました。
参議院選挙も終盤戦に突入し、多くの候補者や政党の宣伝カーが押し寄せました。共産党の吉良よし子さんの演説にも熱が入っていました。 |
| 2016年 ニュースと近況 |
| 2016年 6月29日 (水) |
映画 「辺野古ー圧殺の森 第2章」 |

中野区の「ポレポレ東中野」で上映されている映画、「辺野古ー圧殺の森 第2章」を観に行って来ました。沖縄が置かれた現実と、同県人の執念とも言うべき闘いの記録に感動しました。
映画の後には、藤本幸久監督の舞台挨拶もありました。ドキュメンタリーの意義について、「記録されない事実は、いつしか無かったことになる」という監督の言葉が、記憶に残りました。写真は、舞台上で沖縄支援を呼びかける藤本監督 |
| 2016年 ニュースと近況 |
| 2016年 6月28日 (火) |
東京電力(株)株主総会 |

国立代々木競技場で、東京電力の第92回定期株主総会が開かれ、参加しました。一般株主に交じり、原発廃止を求める株主訴訟原告団なども多数参加しました。原発再稼働反対や経営体質の変革を求める市民側からの提案は、何一つ取り上げられないまま、東電が動員したと思われる翼賛勢力の勢いに、押さえ込まれた感じです。
強引な進行に対し、議長(数土会長)ら経営陣への解職動議が連発されましたが、結局市民側提案の全てが会社側にねじ伏せられました。無力感に苛まれた総会でした。 |
| 2016年 ニュースと近況 |
| 2016年 6月26日 (日) |
「選挙に行こうスタンディング」 |

参議院選挙がヒートアップしています。「アベ政治を許さない日野市民連合」は、JR豊田駅イオンモール前で、参加各グループが結集しての共同アクション「選挙に行こうスタンディング」を行いました。
参加者は25名、「あなたが一票に託すものは?」と題したシールアンケートで盛り上げました。また個性のあるプラカードを用意して、道行く人に、「選挙に行こう」「棄権は止めよう」と呼びかけました。 |
| 2016年 ニュースと近況 |
| 2016年 6月25日 (土) |
福島瑞穂さん、来る |

参議院選挙が公示され、世間は一挙に選挙モードに突入しました。梅雨空も一休みというこの日、JR日野市豊田のイオンモール前に、社民党副代表の福島瑞穂さんの来市を迎えました。
日野市の今と未来を考える会では、グループをあげて応援し、演説する福島さんの周囲でビラまきなどを行い、集会を盛り上げました。今後は、周辺への周知のため、個人的な活動に力を入れて行きます。 |
| 2016年 ニュースと近況 |
| 2016年 6月18日 (土) |
実質的な選挙運動がスタート |

参議院選挙の日程が決まり、市民レベルでの選挙運動も本格化しています。「日野市の今と未来を考える会」では、6月15日(水)、京王線高幡不動駅前で、投票を呼びかける街頭宣伝活動活動を行いました。
また個人的には、こうした動きと連動して、社民党副党首の福島瑞穂さんへの応援チラシの戸別配布を行いました。約3日間をかけて、我が家の周辺2000戸へのポスティングを終えました。(右面は、福島みずほ応援団の有賀精一市議) |
| 2016年 ニュースと近況 |
| 2016年 6月14日 (火) |
NHK退職者たちと抗議集会 |

NHK退職(局)者の活動グループ「NHK報道を市民の手にネットワーク」は、代々木のNHK本局の西通用門(局員・協力業者の専用通用口)で、リレートークとビラまきを行いました。
私も、知り合いの元職員を応援するため行動を共にしました。退職者ですから、当然高齢者ばかりですが、マスコミ人の使命と、NHKを愛する気持ちは現役のころと変わりません。NHK報道の公正さと、籾井会長の再任阻止と即日退任を求めて、声を枯らしました。 |
| 2016年 ニュースと近況 |
| 2016年 6月12日 (日) |
日野市民連合の共同街頭活動 |

梅雨の晴れ間、真夏のような暑い日、「日野市民連合のロングラン宣伝」をJR豊田駅イオン前で行いました。
市民連合が様々なグループの集まりであるため、市議会議員団・日野労連の他、市民グループとして「日野の会」「9条の会」「未来の会」「若手弁護士の会」「ママの会」などのメンバーが参加し、多彩な顔触れとなりました。戦争法への非を鳴らすとともに、国政選挙への投票を促しました。
また同時に、署名活動も行いました。 |
| 2016年 ニュースと近況 |
| 2016年 6月 5日 (日) |
甲州街道ピースデモと、国会前大集会 |
「平和をめざす日野・八王子市民の集い」は、「甲州街道ピースデモ」といって、徒歩で八王子〜国会までを歩こうという。企画がありました。
今回は、その仕上げとして、新宿から国会までのコースを歩きました。参加者は約50名と、やや寂しかったのですが、元気よくコールしながら国会に到着、達成感を味わいました。写真は、沖縄の舞踏衣装を着てパレードを先導した、有賀精一
日野市議会議員と
この日、国会周辺では、「明日を決めるのは私たち--政治を変えよう!6.5全国総がかり大行動」が開かれ、霞ヶ関周辺だけで4万人以上の怒れる市民が集まりました。
また全国のおよそ60ケ所でも、同時に同様の集会が開催されたとのことです。
この大集会には、野党代表者の他、音楽家の湯川れいこさん、SEALDsの奥田愛基さんらが挨拶に立ち、迫りくる参議院選挙では、野党共闘により、憲法の改正を阻止しようと呼びかけました。 |
| 2016年 ニュースと近況 |
| 2016年 6月 1日 (水) |
子供の代休に合わせて高尾山へ |

G7サミットが終わり、参議院選を控えた内閣は、消費増税の延期を発表し、事実上の選挙戦に入りました。中学生の孫たちが運動会の代替えとして、代休日となったため、久しぶりに高尾山に行って来ました。
6号路の沢沿いの道は涼しく、快適な登山となりました。昼前には山頂に達し、美味しいおにぎり昼食を摂りました。この子たちには、間もなく背丈も抜かれそうで、改めて時の早さを思い知ります。 |
| 2016年 ニュースと近況 |
| 2016年 5月28日 (土) |
日野市民連合初主催の大集会 |

日野市民連合が発足して最初の主催となるイベント、「選挙に行こう 高幡不動駅前ロータリー 1000人行動」が、京王線高幡不動駅前で開かれました。街宣車の周囲を、多くの市民が取り巻く形で、学者の会、ママの会、若手弁護士の会や、各市民の会代表が次々に立ち、安倍政治への批判を高めました。そして野党共闘選挙での主権の回復を訴えました。集会の周辺では、2000万人署名や、カンパ募金なども行われ、本格的な国政選挙運動がスタートした感じです。 |
| 2016年 ニュースと近況 |
| 2016年 5月21日 (土) |
八王子音楽祭 2016 |

八王子市では毎年、恒例の八王子音楽祭(今年は4月16日〜5月22日)が開かれます。期間中は大小音楽ホールを始め、駅前広場や民家そして路上など、至るところで様々な音楽が披露されます。
この日は、いちょうホールなど、いくつかの会場をハシゴして来ました。野外では素人芸の域を出ないものもありますが、いずこも観客と一体になったパフォーマンスで楽しめました。写真は、いちょうホールのロビーコンサートで、見事な演奏と歌を聞かせてくれたトリオ「ブラジル三昧」 |
| 2016年 ニュースと近況 |
| 2016年 5月14日 (土) |
長島昭久議員を訪ねる |

「日野市の今と未来を考える会」のメンバーと、立川市にある衆議院民進党の長島昭久議員の事務所を訪問し、懇談しました。近づく国政選挙において、市民として応援するために、安保法制についての見解を、議員本人の口から直接聞き、確認するためです。
長島さんは戦争防止と、現行憲法の順守を確約してくださり、今後の運動への障害は解消しました。また日本会議への関わりも確認しました。写真左から三人目が長島議員。同二人目は同席された日野市議の菅原さん。 |
| 2016年 ニュースと近況 |
| 2016年 5月 9日 (月) |
高幡不動駅前で、街宣と署名活動 |

「戦争はいやだ!平和を守ろう!日野の会」と「日野市民の会」は、高幡不動駅前で合同の街頭宣伝活動を行いました。
生憎の雨模様でしたが、市民連合発足の余韻を下げて、リレートークや署名活動に励みました。今回は、街を行く若者が声を掛けてくれたり、進んで署名してくれるなど、うれしくなる瞬間が何度もありました。 |
| 2016年 ニュースと近況 |
| 2016年 5月 8日 (日) |
日野市の対選挙市民連合発足 |

日野市生活保健センターで、来るべき参議院選挙と、同日選挙の可能性が高いとされている衆議院議員選挙に目標を据えた、対国政選挙の市民運動として「アベ政治を許さない日野市民連合」結成の集い、発足総会を開きました。
私も呼びかけ人として名を連ねています。会場には328人もの市民が詰めかけ盛況でした。記念講演として慶応大学教授 小林節さんの講演がありました。また野党側の代議士も参加し、臨戦気分が盛り上がりました。 |
| 2016年 ニュースと近況 |
| 2016年 5月 3日 (火) |
有明公園で、憲法集会とパレード |
東京湾に浮かぶ人工島、有明防災公園で「明日を決めるのは私たち - 平和といのちと人権を! 5.3憲法集会」開かれた憲法集会が開かれました。
参加者は5万人で広い芝生の広場を埋め尽くし大盛況。ゲストとして野党4党の党首も出席し、参議院選挙への連携を約しました。来賓は、法大教授の山口二郎さんら。リレートークには、SEALDsの奥田愛基さんら。またヘイトスピーチに苦しめられている朝鮮高校の女生徒も参加しました。
集会後、台場コースと豊洲コースの2方向に分かれて市民パレードを行いました。あまりの参加者の多さに、延々1時間半にわたる大デモンストレーションとなりました。
コース途中には、右翼の一団が待ち構えていて、罵詈雑言を浴びせられました。その挑発に乗って、口論になってしまいました。エキサイトな一日でした。 |
| 2016年 ニュースと近況 |
| 2016年 4月20日 (水) |
ポスティングに汗流す日々 |

日野市民連合の発足の、設立集会準備が始まりました。集会への市民の参加を呼びかけるフライヤーが出来上がりました。これを居住地随所に掲示しました。
またこの運動で、志を同じくする有賀精一日野市議会議員から市政報告書のポスティングを任されました。居住するエリアを大きく超える範囲まで担当するため、4月17日から20日までの4日間をかけ、1500部を戸別配布しました。大変でしたが、運動不足の解消になったかも知れません。 |
| 2016年 ニュースと近況 |
| 2016年 4月17日 (日) |
タケノコ堀り |

4月14日、熊本県で大型の地震があり、大きな被害が発生しました。
世の中が騒然とする中の17日(日)、町田市小野路にタケノコ掘りに出かけました。ここは毎年のように通っている所で、エグミの少ない、美味しいタケノコが採れます。
孫たちと鍬を振るい、11kgものタケノコを堀りあげました。明日から数日は、タケノコ三昧の暮らしになりそうです。 |
| 2016年 ニュースと近況 |
| 2016年 4月15日 (金) |
級友と、新宿で贅沢ランチ |

昨夜、熊本県を震度7の激震が襲い、大きな被害が発生しました。
桜も散ったこの日、昔の仕事仲間たちと、久しぶりのランチ会を催しました。場所は新宿住友ビルの、北大路「新宿茶寮」。地上200mの絶景個室で「四季の会席」を頂きながら、近況を語り合いました。話はどうしても健康問題が中心になりますが、元気がゆえの話題かも知れません。
その後場所を移して、旧交を温めました。写真は、二次会の京王プラザホテル「樹林」で。 |
| 2016年 ニュースと近況 |
| 2016年 4月14日 (木) |
日野市民連合の設立準備が進行中 |

日野市社会教育センターにおいて、「アベ政治を許さない日野市民連合」の第2回設立準備会が開かれました。
今夏の参議院選挙と、同日選挙の可能性が高まっている衆議院補選の国政選挙で、野党連合を応援しようという趣旨で、市内の著名人や市民グループが参加しています。
5月8日に結成記念行事を行うことになっており、それに向けた準備を急いでいます。夜10時近くまで、会議は続きました。 |
| 2016年 ニュースと近況 |
| 2016年 4月 7日 (木) |
よき仲間とフランス料理のランチ会 |

桜が舞い散る頃を見計らって、古い仲間たちと、ランチ会を計画しました。当初の計画ではランチ後、浜離宮公園で観桜し、船で浅草に行く予定でした。
ところが当日は大雨が降り、桜どころではなくなりました。結局、浜松町の貿易センタービルにあるレストランレインボーで、豪華フランス料理をいただくだけの一日になってしまいました。とはいえ、贅沢な食事と、仲間たちとの楽しい交流で、満足しました。 |
| 2016年 ニュースと近況 |
| 2016年 4月 5日 (火) |
携帯電話を買い替えました |

携帯電話のタッチキーの反応が鈍くなり、憧れだったスマートフォンに替えようとショップを訪れました。ところがお店から機器の使用頻度や、日ごろの生活様式などに照らして、私にスマホは不要と断言されました。
結局、ガラ携と呼ばれる従来の携帯電話機を買い替えることになりました。新しい物なら何でも飛びついた頃からみると、向上心も好奇心も失せたことを、改めて知らされた感じがします。何ともいえない、寂しさを味わった一日でした。 |
| 2016年 ニュースと近況 |
| 2016年 4月 2日 (日) |
京王線府中市で、反戦争法スタンディング |

「原発イヤだ!府中」が主催する、澤地久枝さん提唱の「アベ政治を許さない」のプラカードを掲げるスタンディング活動が、府中市の伊勢丹フォーリス前で行われました。
折しも桜が満開ということもあって、街は華やいだムードでいっぱいです。21名の参加者は、元気いっぱい、戦争法や原発の廃止、辺野古への米軍基地建設反対、さらには夏の参議院選挙への投票呼びかけなどのコールを行い、通行人にアピールしました。 |
| 2016年 ニュースと近況 |
| 2016年 4月 2日 (土) |
国政選挙勝手連の勉強会 |

今夏の参議院に合わせて、衆議院選挙も同日に行われそうとの観測もあり、選挙気運が高まっています。
選挙勝手連連合の「東京ワクワク同好会」が主催する「座間宮ガレイが都勝手連メンバーに送る特別企画! 北海道・横路勝手連から学ぶこと」という勉強会が新宿区若松地域センターで開かれました。
楽しく、持続する市民運動の方法などが紹介され、50余名の参加者と意見交換を行いました。 |
| 2016年 ニュースと近況 |
| 2016年 4月 1日 (金) |
まさかの胃潰瘍 |

3月の上旬ころから、訳のわからない胃痛に悩まされました。それが四六時中続いたため、市立病院で受診し、胃カメラやエコーの検査を受けました。
4月1日、その結果が出ました。病名は「胃潰瘍」、内視鏡の映像には、3センチもの潰瘍が映っていました。薬で治療しながら、5月に再検査することになりました。
写真は、同日満開となった、浅川沿いの桜並木で、孫たちとお花見を楽しみながら。 |
| 2016年 ニュースと近況 |
| 2016年 3月25日 (金) |
孫の次男坊、小学校の卒業式 |

小学校1年生の時、孫は大病を患い、その命さえ危ぶまれた時期がありました。あれから5年、病気の再発や治療による後遺症などの影響はありませんでした。彼はいま学業にスポーツにと、毎日元気に過ごしています。
桜が咲き始めたこの日、大きな関門だった小学校の卒業式を迎えました。最大の気がかりだった懸念が去り、大きな荷物を、肩から降ろしたような気がします。 |
| 2016年 ニュースと近況 |
| 2016年 3月20日 (日) |
自治会総会で会計担当に選出される |

日野市南平地区センターにおいて、南平下組自治会の定期総会が開かれました。
本年度の事業報告に続き、平成28年度の役員改選が行われ、持ち回りの宿命で、会計担当の役員を仰せつかりました。いずこも同じでしょうが、住民の高齢化に伴い、会員の不足と、役員へのなり手がいないなど共通した問題に直面しています。
会計の仕事は不得手ですが、一年間頑張ります。 |
| 2016年 ニュースと近況 |
| 2016年 3月19日 (土) |
日比谷野外集会と、銀座平和パレード |
『戦争法廃止・安倍政権の暴走許さない3.19総がかり日比谷大集会』が開催されました。会場となった日比谷野音楽堂には、6500人もの市民が詰めかけました。
朝から生憎の雨でしたが午後1時の開会までには上がり、我々の行いの正しさが証明されたようです。
メインのリレートークには子連れのママの会@Tokyoや、高校生のグループ T-ns SOWL の16歳の女子高生が登壇しました。政界からは民主党枝野幹事長、共産党の小池晃さんらが野党共闘を約束しました。
集会終了後は、日比谷公園から、東京駅の鍛冶橋まで、約40分の短い距離でしたが、銀座平和パレードを行い、道行く市民に安倍首相の退場を訴えて歩きました。 |
| 2016年 ニュースと近況 |
| 2016年 3月15日 (火) |
全国一斉、2000万人統一署名活動を八王子駅で |

総がかり行動実行委員会が提唱する「全国主要駅3・15一斉街宣・署名行動」が行われ、八王子では、JRと私鉄合わせて24駅同時開催されました。
私は「NO WAR ! 八王子アクション」のメンバー約20名の仲間と一緒に、八王子駅北口で署名集めを行いました。
世間の関心は、時間と共に薄れつつありますが、使命感は一向に衰えません。北風が吹き荒れて寒い一日でしたが、充実した時間をもちました。 |
| 2016年 ニュースと近況 |
| 2016年 3月12日 (土) |
豊田駅で署名運動 |

JR豊田駅北口で、「日野市の今と未来を考える会」が主催する「2000万人統一署名」運動が行われ、お手伝いとして参加しました。参加したメンバー19人、寒い一日でしたが、全力で頑張りました。
その後、イオンモールのイートインで、7月の参議院選挙対策について、代表者6人で話し合いました。今後の運動は、選挙を見据えてのものに移行していきそうです。 |
| 2016年 ニュースと近況 |
| 2016年 3月 3日 (木) |
「アベ政治を許さない」府中スタンディング |

3月3日のひな祭り、気温が一気に上昇し、外出が苦にならなくなりました。
「アベ政治を許さない」ポスターを全国一斉にかかげる運動を、「アベNO!府中実行委員会」と、「新日本婦人の会府中支部」が合同で行いました。
府中ケヤキ並木には、35名のメンバーが参加。ポスターを掲示しながらのスタンディングを実施、戦争法廃止のコールを繰り返しました。続いて、署名集めを行いました。 |
| 2016年 ニュースと近況 |
| 2016年 2月27日 (土) |
憲法の勉強会 |

日野市にあるNPO法人、「日野・市民自治研究所」ゆのした市民交流センターで、埼玉大学准教授の中川 律さんを講師にした勉強会が開かれ、参加しました。
テーマは「立憲主義と憲法解釈の変更」で、戦争法で問題化された法解釈の問題点を、学問的に解説されました。改めて現行政府の暴政が暴き出された感じがしました。新たな活動の場が広まった気がします。 |
| 2016年 ニュースと近況 |
| 2016年 2月19日 (金) |
安保院内集会と、国会前集会 |

参議院議員会館講堂において、立憲フォーラム・戦争をさせない1000人委員会が共催する「さぁ、安倍政治を終わらせよう2.19院内集会」が開かれ参加しました。
講師には、京都精華大学の白井聡先生が「永続敗戦レジュームの断末魔としての安倍政権」というタイトルで講演がありました。
講演後は、総がかり行動実行委員会主催の毎月恒例の国会前集会で気勢を上げました。参加者は7800人、いまだ反骨のエネルギー衰えずです。 |
| 2016年 ニュースと近況 |
| 2016年 2月18日 (木) |
総選挙向け都内「勝手連」の顔合わせ |

2月18日(木)新宿区若松地区センターにおいて、次期国政選挙応援の勝手連「東京選挙区ワクワク同好会」が開催されました。東京・神奈川などの勝手連10グループと、今後立ち上げを計画中の市民、約70人が参加しました。
私の住む地域では、この組織はまだ立ち上がってはいませんが、今後勉強をしながら、同志を募って行くつもりです。 |
| 2016年 ニュースと近況 |
| 2016年 2月14日 (日) |
中学校の仲間と、遅い新年会 |

バレンタインデーのこの日、初夏を思わせるような暖かかさに驚かされました。故郷の鼎中学校の仲間たち6人で、遅まきながらの新年会を開きました。
会場は京王プラザホテル内にあるグラスコートです。ローストビーフなど、美味しい食事に舌鼓を打ちながら、旧交を温めました。話題は、今秋にも行われる予定のクラス会についてで、計画の実現に向けて、前向きに取り組んでいくことを確認しました。
|
| 2016年 ニュースと近況 |
| 2016年 2月11日 (木) |
JR八王子駅で、戦争反対の署名活動 |

建国記念日のこの日、JR八王子駅北口のマルベリーブリッジで、市民団体「NO WAR 八王子アクション」が主催する戦争法廃止の街頭宣伝と、2000万人署名活動を行われ、孫娘を連れて参加しました。
八王子在住者を中心に、参加したメンバーは約20人と、まずまず。
一方、反応の方はどうかと言えば、戦争法の施行を間近にしても、法成立で一端離れた市民の関心は、何となく遠ざかったままです。寒さが身に染みる一日でした。 |
| 2016年 ニュースと近況 |
| 2016年 2月 3日 (水) |
府中で安保反対ポスターの掲示スタンディング |

府中駅近くの伊勢丹デパート前で、作家、澤地久枝さんが呼びかける「アベ政治を許さない」ポスターを全国一斉がにかかげる運動が行われ、参加しました。
府中市民を中心に、25名の参加者があり、街を歩く通行人に、平和を訴えました。安倍政権は大臣の不祥事などがあってグラついていますが、それ以上に市民の関心が薄れつつあり、市民からの盛り上がりは薄れつつあります。気を引き締めて頑張ります。
|
| 2016年 ニュースと近況 |
| 2016年 2月 3日 (水) |
高幡不動尊で節分会 |

まだまだ寒さが続きますが、2月3日高幡不動尊で節分会が行われ、近いこともあって、節分豆撒式を見物して来ました。
歳男には、往年のスター和泉雅子や平泉 成といったベテラン陣に、「 Why Japanese people ? 」で有名な米人コメディアン、厚切りジェイソンらが招かれ、福豆を撒きました。
高幡不動尊では、「鬼は外」というフレーズは一切使わず、「福は内」のみを連呼します。明日は、いよいよ立春です。
|
| 2016年 ニュースと近況 |
| 2016年 1月23日 (土) |
市民連合のパネルディスカッションが王子で |

北区の北とぴあ・さくらホールで、安保法制の廃止と立憲主義の回復を求める市民連合の大集会が、1300人の市民を集めて開かれました。
流行語ともなった「あべ政治を許さない」の書家で、俳人の金子兜太さんの挨拶についで、哲学者、柄谷行人さんの基調講演がありました。メインのパネルディスカッションでは法大教授山口二郎さんが、モデレーターになって、「2016年をどう戦い抜くか」というテーマで、森達也映画監督などのパネラーから熱く語られました。 |
| 2016年 ニュースと近況 |
| 2016年 1月19日 (火) |
連ちゃんで、都内で戦争法反対運動に参加 |

1月18日、関東地方は大雪になりました。まだ根雪が残る翌19日、上野駅公園口で行われた、戦争をさせない1000人委員会が主催する「戦争法の廃止を求める統一署名」運動に参加しました。
さらに同日夕方からは、衆議院第二議員会館前で『私たちはあきらめない!戦争法を廃止へ!安倍内閣は退陣を1・19総がかり行動』集会にも参加しました。この集会には、5800人もの怒れる市民が集まり、戦争法の廃止を叫びました。写真は連帯挨拶に立つ日本共産党 参議院議員 小池 晃さん |
| 2016年 ニュースと近況 |
| 2016年 1月12日 (火) |
土地も人も温かい、球美の島(久米島)旅行 |

1月8日〜12日の5日間、沖縄の久米島に旅行しました。連日ほぼ20℃の暖かい気候もあって、精力的に島内を歩き回りました。古民家・博物館・漁港などで様々な人たちと触れ合い、個人旅行の楽しみを存分に味わいました。
また「はての浜」という絶景、グスク(古城)、鍾乳洞探検も、驚きと感動の連続でした。夜は、毎夜居酒屋に繰り出し、踊り、飲み、そして地元の魚など食べまくり、体が一回り大きくなったように感じます。写真は3回も訪れた上江洲(ウエズ)家のおばあ(旧村長の末裔)と。 |
| 2016年 ニュースと近況 |
| 2016年12月30日 (水) |
「餅を喰っても忘れない」ぞ 新宿集会 |

戦争させない・9条壊すな!総がかり行動実行委員会など、市民連合が主催する「アベにNO!野党共闘へ1・5新春大街頭宣伝」が新宿西口広場で開かれました。これに呼応して集まった市民はおよそ5000人。大盛況の集会となりました。
思想家の内田樹さんらが「野党共闘」を訴えるなか、共産党の志位委員長や、民主党の蓮舫さんらが、戦争法の廃止を叫びました。心無い与党からは、「餅を喰ったら反対派も忘れる」との暴言もあったよし。我々は決して諦めません。 |
| 2016年 ニュースと近況 |
| 2016年 1月 3日 (日) |
府中で仕事始めのスタンディング |

作家の澤地久枝さんが呼びかけ、毎月3日の「安倍政治を許さない」全国一斉スタンディングが、府中市の通称ケヤキ並木で行われ、今年最初の安保反対運動として参加しました。
これは、府中市民による「アベNO!府中実行委員会」が主催するもので、正月三が日にもかかわらず、約20名が、集まりました。場所は初詣で賑わう大国魂神社参道で、多くの参拝客が通る中、コールと安保法制廃案の署名運動を合わせて行いました。 |
| 2016年 ニュースと近況 |
| 2015年12月30日 (水) |
2015年 年賀欠礼状 |

|

|